Education and experience
At Cedar Hills Family Dentistry, we believe that education is a life-long process. To that end, Dr. Isaacson takes over 100 hours of continuing dental education courses every year so he can stay abreast of the latest dental advances and best practices. He combines the skills he learns with his years of experience and friendly demeanor to provide the highest quality care possible. The professional team members at our practice are also devoted to making each patient feel at home and ensuring their comfort during all preventive services and dental treatments.
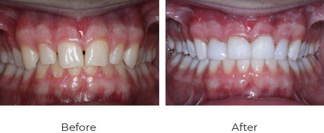
The latest technology
Phones and computers are not the only things that have benefited from advances in technology! Dental care has rapidly changed over the last decade, changing how we provide all types of treatments. From tools to more effectively clean your teeth at routine hygiene visits to digital scanning and same-day restorations, we are equipped to provide safe, up-to-date, quality care for everyone. Some of the devices you’ll benefit from at our practice include:
- Same-Day Crowns: In our office we are proud to provide same-day treatment for crowns, inlays, and onlays, eliminating the need for multiple visit, messy impressions, and temporary restorations.
- Digital imaging: everyone remembers having to keep those painful traditional films in their mouth for what seemed like hours; with digital x-rays and intra-oral cameras, the imaging process is much more comfortable and rapid, and you are exposed to much less radiation in the process
- Sleep Apnea Treatment: Do you feel rested after a full-night’s sleep? Dr. Isaacson and his staff have been trained on sleep apnea appliances and are also able to provide take-home sleep tests to understand your sleeping habits and challenges
Care for all ages
One of the greatest benefits of seeing a family dentist is the ability for everyone in the family—from the youngest children to the young at heart—to receive their dental care in the same location. Adults can set a terrific example for their children by demonstrating the importance of visiting the dentist regularly, and you can save time and gas money by scheduling your whole family’s appointments on the same day. Families have enough items to keep track of in our hectic modern lives and remembering the names and appointment times for multiple dentists and orthodontists shouldn’t be one of them.
Your dental family
At Cedar Hills Family Dentistry, we love welcoming new patients to our dental family! If you live in the Alpine, UT area or surrounding communities, we invite you to experience the difference in care that we offer at Cedar Hills Family Dentistry. Our office is conveniently located in Cedar Hills, UT and we have both early and late hours to accommodate even the busiest of schedules. Call us today at (801)-890-3522 to schedule appointments for the whole family!








